Servicios de cardiología y pruebas de esfuerzo
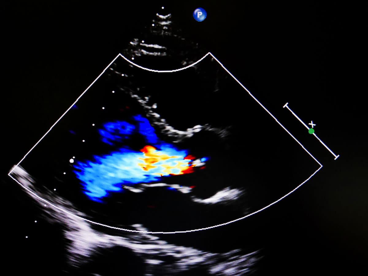
Ecocardiograma Doppler en Color
El ecocardiograma doppler color transtorácico es una prueba diagnóstica fundamental, no invasiva, no dolorosa y sin efectos secundarios que nos permite observar los grandes vasos y el movimiento del corazón (latidos) a tiempo real. Además aporta información acerca de sus estructuras, forma, tamaño, grosor y función. Con ella, determinamos también de forma no invasiva las presiones intracardíacas y pulmonares, la fuerza de contracción, así como el volumen que eyecta en cada latido. Podemos medir la velocidad y la presión de la sangre que pasa a través de cada una de las válvulas.
El ecocardiograma es una prueba de referencia cardiológica que permite el diagnóstico, evaluación y monitorización de:
- Alcance del daño en pacientes con infarto de miocardio.
- Válvulas cardíacas anormales y pacientes operado de las válvulas.
- Soplos cardíacos.
- Patologías en grandes vasos
- Patologías del pericardio.
- Cardiopatías congénitas y tumores.
- Fibrilación auricular.
- Hipertensión pulmonar.
Realizamos este estudio dentro de los programas básicos de prevención de muerte súbita, de forma rutinaria en pacientes con factores de riesgo cardiovascular o sospecha de enfermedad cardiaca.


Holter de Presión Arterial
La Monitorización Ambulatoria de la Presión Arterial (MAPA) es un método preciso, no invasivo por el que obtenemos múltiples mediciones de la PA (presión arterial) con un mínimo de intervención en las actividades diaria del paciente. Para ello utilizamos un dispositivo de pequeño tamaño conectado a un manguito que se coloca en el brazo y se infla cada cierto tiempo, registrando así y almacenando los datos de la PA tomada de forma regular durante al menos 24h en su domicilio.
Permite conocer los valores de la presión sanguínea, la definición de los promedios de las variaciones a lo largo del día y la noche, sus cambios diurnos, la localización de períodos de aparición más frecuente de valores altos de la presión arterial y contribuye al diagnóstico del “fenómeno de la bata blanca”.
Ergometría – Prueba de Esfuerzo
La prueba de esfuerzo consiste en la realización de actividad física en un tapiz rodante o bicicleta estática, aumentando la carga de manera progresiva, y manteniendo monitorizado el trazado electrocardiográfico, la frecuencia cardiaca y tensión arterial tanto durante la prueba como al final de la misma (recuperación). La ergometría consiste en realizar el mayor esfuerzo posible, pudiendo alcanzar el umbral de cansancio o máximo nivel de resistencia.
Es una prueba diagnóstica fundamental y de gran utilidad para valorar la respuesta del corazón ante el esfuerzo, pudiendo valorar la condición física de la persona, ayudar al diagnóstico correcto de enfermedad coronaria, estimación del pronóstico de la enfermedad y además valorar el efecto del tratamiento en aquellos pacientes con enfermedad coronaria ya conocida.
Realizamos por tanto esta técnica diagnóstica en individuos sanos, dentro de nuestro programa de prevención de factores de riesgo cardiovascular y muerte súbita (complementando al ecocardiograma doppler color) así como en seguimiento y control de pacientes con hipertensión arterial, insuficiencia cardiaca avanzada, alteraciones del ritmo, cardiopatías congénitas, etc
